Aligner
Aligner ermöglichen eine diskrete und alltagstaugliche Zahnkorrektur. Im Vergleich zu festen Zahnspangen verlaufen die Behandlungen meist effizienter, unterstützt durch digitale Planung und moderne Fertigung. Dadurch zeigt sich diese Form der Zahnbegradigung heute auch wirtschaftlich besser kalkulierbar.
Aligner
Aligner ermöglichen eine diskrete und alltagstaugliche Zahnkorrektur. Im Vergleich zu festen Zahnspangen verlaufen die Behandlungen meist effizienter, unterstützt durch digitale Planung und moderne Fertigung. Dadurch zeigt sich diese Form der Zahnbegradigung heute auch wirtschaftlich besser kalkulierbar.
Was sind Aligner?
Die Aligner-Therapie existiert bereits seit 1998, ist wissenschaftlich erprobt und wurde weltweit bei über 6.000.000 Patienten angewandt. Die fast unsichtbaren Zahnschienen, die sogenannten Aligner, üben an exakt berechneten Stellen gezielt Druck aus. Durch diesen präzisen, sanften Druck werden Ihre Zähne Stück für Stück − beziehungsweise Schiene für Schiene − in die geplante Position verschoben. So bringen wir Ihr Lachen ganz unauffällig in Form.Â
Med. dent. Daniel Mugescu
Zahnärztliche Leitung
Dr. med. stom (RO) Carolin Simon
Zahnärztin
Für wen sind Aligner geeignet?
Aligner finden ihre Anwendung vorwiegend in der kieferorthopädischen Behandlung, sowohl bei Jugendlichen als auch bei Erwachsenen. Grundsätzlich lassen sich fast alle Zahnfehlstellung mit einem Aligner korrigieren. Wir beraten Sie gerne zu den Möglichkeiten in Ihrem individuellen Fall.
Behandlungsablauf
Vorteile:
- In jedem Alter anwendbar
- Diskret, fast unsichtbar
- Schneller Erfolg im Vergleich zu einer festen Zahnspange
- Ohne chirurgische Eingriffe
- Komfortabel, tragefreundlich, flexibel
- Einfache Handhabung: hygienisch, herausnehmbar
- Durch digitale Technologie jetzt deutlich kostengünstiger – Ratenzahlung möglich
Behandlungsablauf:
- kostenfreies Beratungsgespräch, 3D-Kieferscan
- 3D-Planung und Besprechung
- Schienen werden alle 2 Wochen gewechselt und Tag und Nacht getragen
- Beispiel: bei insgesamt 6 Schienen pro Kiefer dauert die Behandlung etwa 3 Monate
- Nach erfolgreicher Behandlung wird die neue Zahnstellung in der Regel durch retentive Maßnahmen stabilisiert
Informieren Sie sich unverbindlich
Die Zahnbegradigung mit Alignern wirft bei vielen Patient:innen Fragen hinsichtlich Dauer, Aufwand und Alltagstauglichkeit auf. In einem persönlichen Gespräch erläutern wir Ihnen gerne den möglichen Behandlungsrahmen und prüfen, ob diese Methode für Ihre Zahnsituation geeignet ist. Kontaktieren Sie uns jetzt.
Voraussetzungen für eine erfolgreiche Behandlung:
- Professionelle Zahnreinigung zu Beginn (kostenfrei im Paket enthalten)
- Kariesfreies Gebiss, keine akute Zahnfleischerkrankung (Paradontitis)
- Gute Mundhygiene
- Gute Mitarbeit des Patienten (wie regelmäßiges Erscheinen zu den vereinbarten Terminen)
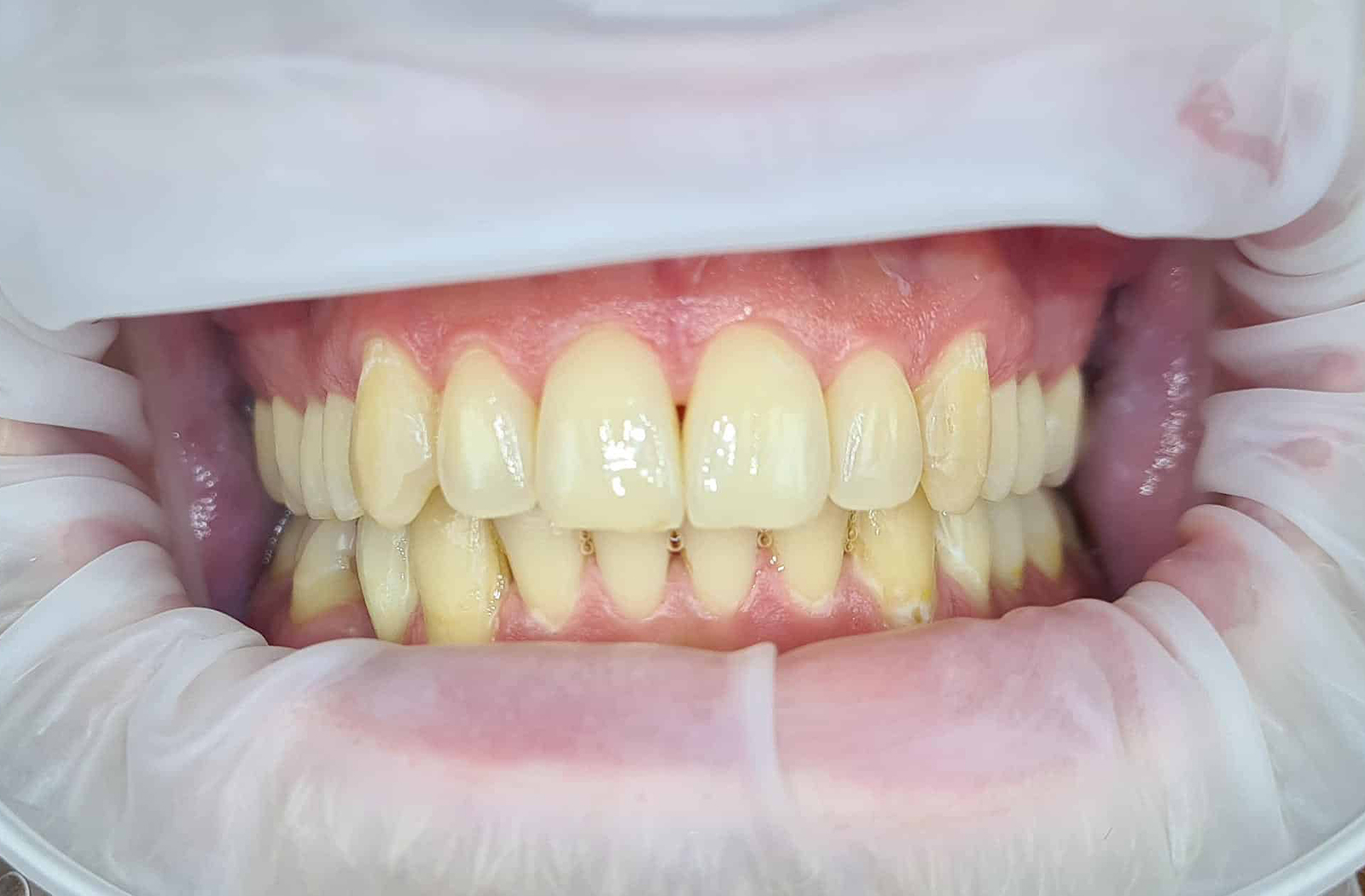
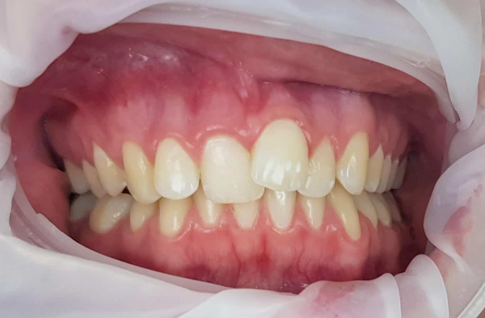
Beispiele aus unserer Praxis
Ihre Behandlungsoptionen mit Alignern prüfen
Viele Zahnfehlstellungen lassen sich sinnvoll mit Alignern korrigieren. Wir schauen uns Ihre Ausgangssituation detailliert an und besprechen offen mit Ihnen, welche Möglichkeiten bestehen und wo die Grenzen dieser Behandlungsform liegen. Vereinbaren Sie Ihren Termin.
Was Patienten über uns sagen
Gepostet auf Alistair JTrustindex überprüft, ob die Originalquelle der Bewertung Google ist. Extremely competent, sympathetic and friendly dentist surgery. The staff always take the time to talk you through the process and what to expect and Ms Simon can also explain it all in fluent English. Can fully recommend going to them for both check-ups and more serious dental work.Gepostet auf OlafTrustindex überprüft, ob die Originalquelle der Bewertung Google ist. Ich bin mit akuten Schmerzen in einer Zahnfleischtasche zu Frau Dr. Simon in die Sprechstunde gegangen. Ich bin vollends zufrieden und die Therapie hat sehr gut gewirkt. Ich war schnell schmerzfrei und habe bis jetzt keine Probleme mehr. Frau Simon nimmt sich Zeit und strahlt eine angenehme Ruhe aus. Danke für die gute Behandlung.Gepostet auf ChristophTrustindex überprüft, ob die Originalquelle der Bewertung Google ist. Frau Dr. Simon ist eine herausragende Zahnärztin. Meine Wurzelbehandlung verlief vollkommen schmerzfrei und ohne jegliche Komplikationen. Die Behandlung war professionell, einfühlsam und in einer sehr angenehmen Atmosphäre. Besonders positiv fand ich die kaum vorhandene Wartezeit sowie die ruhige und klare Erklärung jedes Schritts. Ich habe mich jederzeit bestens aufgehoben gefühlt. Absolute Empfehlung!Gepostet auf Can ÃTrustindex überprüft, ob die Originalquelle der Bewertung Google ist. Bin seit Jahren in dieser Praxis und durchweg zufrieden! Super nettes Team, top Behandlungen und man fühlt sich einfach gut aufgehoben. Alles läuft immer ruhig und professionell ab – hier stimmt einfach das Gesamtpaket. Absolute Empfehlung!Gepostet auf AltaNativTrustindex überprüft, ob die Originalquelle der Bewertung Google ist. Nach 15 Jahren mal wieder zum Zahnarzt. Gott sei Dank das ich diese Praxis gegoogelt habe. Es ging um eine Kanal Behandlung und anschließend eine Krone. Von A-Z top Service und Vorallem nicht einmal ein kleinen Schmerz verspürt! Ach ja und immer gute Laune:) von nun an wird es regelmäßig er der Besuch beim Zahnarzt!:)Gepostet auf Gönül BTrustindex überprüft, ob die Originalquelle der Bewertung Google ist. Als Angstpatient fühle ich mich in dieser Praxis absolut aufgehoben vorallem bei der Frau Simon. Das gesamte Team ist sehr liebevoll und geht unglaublich beruhigend mit einem um. Man wird immer schön aufgeklärt über jeden Schritt, was einem die Angst nimmt.Sie hat Finger wie Federn man spürt nichts. Es ist wirklich, als würde man sich wie zu Hause fühlen – eine Zahnarztpraxis, in der man sich entspannen kann. Absolut empfehlenswert!Gepostet auf Elschan RTrustindex überprüft, ob die Originalquelle der Bewertung Google ist. Ich möchte dem Zahnzentrum Buchforst – Daniel Mugescu meinen herzlichen Dank aussprechen. Schon beim ersten Besuch habe ich mich hier in besten Händen gefühlt. Der Zahnarzt und das gesamte Team sind nicht nur äußerst kompetent, sondern auch unglaublich freundlich und herzlich. Die Atmosphäre ist sehr angenehm, die Praxis ist modern ausgestattet, blitzsauber und jeder Patient wird mit viel Sorgfalt behandelt. Man hat sich Zeit genommen, mir alles genau zu erklären und mich bei der Entscheidung zu unterstützen. Die Behandlung selbst war völlig schmerzfrei. Vielen lieben Dank für Ihre Geduld, Freundlichkeit und Aufmerksamkeit – dank Ihnen gehe ich jetzt ganz entspannt zum Zahnarzt!Gepostet auf Md ATrustindex überprüft, ob die Originalquelle der Bewertung Google ist. Dr. Caroline Smith is simply the best. Her attitude and caring towards the patients is simply great. Super professional. I would recommend her.
Zweitmeinung zur Aligner-Behandlung
Wenn Ihnen bereits eine Aligner-Therapie empfohlen wurde und Sie eine weitere Einschätzung wünschen, nehmen wir uns gerne Zeit für eine unabhängige Beurteilung. Wir ordnen den Vorschlag fachlich ein und besprechen Alternativen – sachlich, verständlich und ohne Entscheidungsdruck.